Protetika
Protetika je obor stomatologie, který se zabývá náhradou tvrdých zubních tkání laboratorně zhotovenými fasetami, korunkami a můstky. Její součástí je také snímatelná protetika ( snímatelné náhrady ).
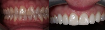
Fasety využíváme většinou tam, kde potřebujeme korigovat tvar, nebo barvu zubu. Jedná se o tenké keramické destičky lepené na povrch zubu po jeho šetrné preparaci .
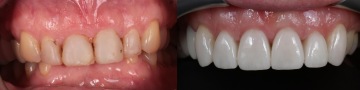
Korunky zhotovujeme na zuby , které ztratily ( kazem , úrazem nebo po ošetření kořenových kanálků ) příliš mnoho tkáně a je zde třeba rekonstruovat jak jejich tvar, tak rozvést žvýkací síly (prevence rozlomení zubu).
Také implantáty, které nahrazují kořen zubu, opatřujeme korunkou. Fasety i korunky zhotovujeme výhradně z celokeramiky . Výroba probíhá digitálně - návrhem modelu v počítači a náseldným frézováním . Finální práce je tak neuvěřitelně přesná .

