Chirurgie
Implantologie
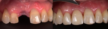
Po ztrátě zubu dochází k určitým změnám. Sousední zuby se rozestupují, zuby v protější čelisti vystupují do mezery (supraokluze). Ztrátou zubu (zubů) se zhoršuje žvýkací funkce. U předních zubů vede jejich ztráta navíc k výraznému estetickému hendikepu a zhoršuje se mluvení.
Většinu chybějících zubů dokážeme nahradit „ na pevno „ pomocí implantátů. V místním znecitlivění zavádíme titanový implantát, který nahrazuje kořen zubu. Po jeho vhojení (integraci) na něj fixujeme zub – korunku na titanovém pilíři.
Implantáty mají , při dobré péči, vysokou a dlouhodobou spolehlivost.

Vybavení zubu moudrosti
Je-li zub moudrosti „osmička“ v nepříznivém postavení, nebo má-li hluboký kaz, přistupujeme k jeho vytažení. U horních zubů moudrosti se většinou jedná o jednoduchý zákrok, dolní „osmičky „ bývají složitější.
Před zákorkem většinou zhotovujeme 3D rentgenový snímek (CT) pro naplánování chirurgického přístupu . Po vytažení zubu vyplňujeme prostor kombinací kolagenu a APRF (plazma bohatá na růstové faktory). Velmi výrazně tím snižujeme riziko pooperačních komplikací.
APRF – odebereme trochu žilní krve, kterou následně upravujeme ve speciálním přístroji. Získáme tak materiál, který výrazně zlepšuje hojení, zmírňuje bolest, otok a četnost pooperačních komplikací.

Chirurgie měkkých tkání
Zahrnuje celou škálu zákroků, které mají za cíl zlepšit estetiku (krytí obnažených krčků), nebo doplnit tkáně v okolí implantátů, popřípadě upravit dásňový výběžek pod snímatelnou náhradu.

Augementace kosti (řízená kostní regenerace)
V případě, že nemáme po ztrátě zubu dostatek kosti k zavedení implantátu, přistupujeme k jejímu doplnění. Využíváme kost vlastní (kostní bloky), kost syntetickou, nebo jejich kombinace.
